Intravenous Injection
* CEFO Stem Cell Biology Laboratory Data
Stem Cell Quantity(%)
Cell Isolation and Extraction Cy(%)
* 2018 Clinical Trial Results
By efficiently guiding regenerative cells toward areas of tissue damage,
this program is designed to support faster recovery and enhance the body’s natural healing capacity.
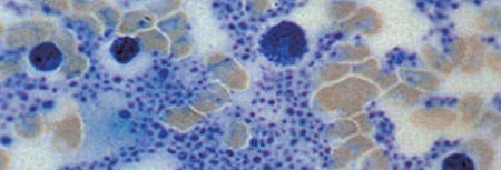
DA Signature Stem Cell
Natural Healing
Timeline of the body’s response to injury
Five different types of cells, each with a distinct role,
work together to create a more stable and well-balanced regenerative effect.
Comparison of Key Stem Cell–Related White Blood Cells(WBCs) and Hematopoietic Stem Cells(CD34⁺) Composition
White Blood Cells(%)
Cells That Support Immune Function and Recovery
Hematopoietic Stem Cells(μL)
Key Stem Cells Starting Regeneration
* 2020 Research Results by GBSA, Gyeonggi Business & Science Accelerator
Unlike platelet-centered approaches, DA applies only an optimized cellular
composition specifically selected to enhance regenerative potential in its treatments.
Cell viability of less than approximately 50%
Unidirectional centrifugation using test tubes
Manual processing system
Limited stem cell content
Platelet concentration increased up to twofold, while other cell populations decrease after concentration
Cell viability of approximately 80~98%
Fine cellular separation enabled by a dual-chamber structure
Automated processing system
High concentrations of hematopoietic stem cells (blood) and mesenchymal stem cells (bone marrow)
Comprehensive extraction of total cell populations, including platelets and other cells directly involved in tissue regeneration
A DA Signature Stem Cell Solution Meticulously Designed to Meet Specific Treatment Objectives

Intravenous Injection

Skin Regeneration

Fat Grafting

Hair Loss Improvement
Proven Safety
Multidisciplinary Medical Collaboration
DA Stem Cell Technology
All-in-One Premium Medical Space
Large-scale medical system B1~12F
DA Building is a large-scale
single building that
specializes in consultation,
treatment, surgery, and
recovery on each floor.
We have completed
systematic collaboration and
state-of-the-art facilities to
provide medical services with
high satisfaction to our customers.

Systematic surgery plan guidance through 1:1 customized consultation
Dedicated medical staff surgery post-care.
Systematic medical cooperation system by field.
9 Anesthesiologists reside in DA Plastic Surgery Clinic
Various medical equipment
Equipped with hotel-class hospitalization rooms for comfortable recovery